Kiến thức da liễu

Kem Trộn: Thần Dược Tức Thời – Biến Chứng Và Hậu Quả Lâu Dài

Trong hành trình hiện thực hóa ước mơ về làn da mịn màn, trắng sáng, nhiều chị em phụ nữ đã không đủ tỉnh táo để chọn cho mình giải pháp an toàn – hiệu quả. Chính vì vậy, rất nhiều người đã vì vậy mà tìm đến các phươ

ng pháp được cho là “Hiệu quả nhanh – thần tốc” hoặc thậm chí được mô tả rằng “Hiệu quả ngay 1 tuần sử dụng” hoặc “sáng mịn ngay sau lần đầu sử dụng”.

Cơn sốt làm đẹp, sở hữu làn da trắng sáng của người Châu Á chúng ta chưa bao giờ ngừng hot, làm đẹp thiếu kiến thức đã âm thầm tàn phá làn da của các chị em phụ nữ trong suốt những thập kỷ qua và chưa có dấu hiệu dừng lại.

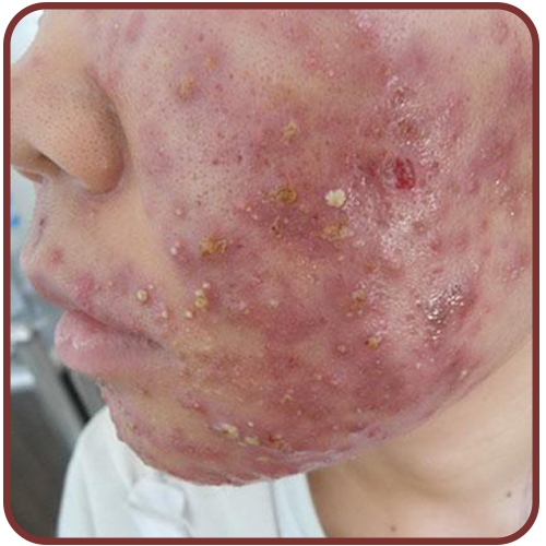
Những biến chứng nguy hiểm từ việc làm đẹp thiếu kiến thức:

Sau thời gian ngắn sở hữu làn da căng bóng, trắng sáng, mịn màng

  • Da mỏng yếu, nổi gân máu
  • Giãn mao mạch, sạm nám nặng nề
  • Mụn viêm bùng phát trở lại gấp nhiều lần
  • Phụ thuộc corticoid: ngưng kem là da đỏ rát, ngứa ngáy, nổi mụn dày đặc
  • Viêm da tiếp xúc, viêm da kích ứng, nhiễm trùng da

Hỗn hợp thành phần kem trộn gồm có những gì?

Kem trộn là hỗn hợp kem được pha từ nhiều loại thuốc hoặc mỹ phẩm khác nhau (thường là thuốc trị mụn, corticoid, aspirin, vitamin E,…), được người bán quảng bá là “kem trắng da siêu tốc”, “trị mụn hiệu quả sau 1 đêm”, “trẻ hóa da chỉ sau vài ngày”…, tuy vậy kem trộn lại là loại kem:

  • Không nhãn mác rõ ràng
  • Không được cấp phép bởi Bộ Y tế
  • Không kiểm soát nồng độ hoạt chất

Bạn cần làm gì khi có những dấu hiệu bị tổn thương do kem trộn?

Dừng ngay sản phẩm đang sử dụng và không cố gắng dùng sản phẩm khác không rõ nguồn gốc với mục đích cải thiện tình trạng trên, điều này càng khiến cho tình trạng của bạn trở nên nặng hơn. Đừng tự xử lý tại nhà, đừng che giấu tổn thương bằng lớp trang điểm. Hãy để bác sĩ Táo Đỏ đồng hành cùng bạn trong hành trình phục hồi làn da tổn thương. Khi đăng ký khám với bác sĩ Táo Đỏ, bạn sẽ được:

  • Bác sĩ da liễu nhiều năm kinh nghiệm thăm khám và đánh giá mức độ tổn thương
  • Bác sĩ sẽ lên phác đồ điều trị chuyên biệt – phục hồi cá nhân hóa
  • Bạn được theo dõi tiến trình cải thiện từng giai đoạn
  • Bạn được hướng dẫn chăm sóc da khoa học, an toàn

Phòng Khám Da Liễu Táo Đỏ, với 15 năm kinh nghiệm trong thăm khám và điều trị hiệu quả các bệnh lý về da và tóc, cung cấp các dịch vụ chăm sóc và thẩm mỹ bằng phương pháp an toàn và tối ưu nhất cho từng trường hợp cụ thể.

Gọi ngay Hotline: 0914 994 337 hoặc Đặt lịch hẹn khám trực tiếp với bác sĩ phía dưới để được tư vấn và điều trị đúng cách.